Обновления каталога
Компаний: 52

Агентство социальной информации (АСИ)

Сложные исследования полного цикла "под ключ"

MegaResearch

Найдем персональное решение для вашего бизнеса

Русопрос

Выявляем потребительские предпочтения ваших клиентов




Нейротехнологии можно использовать для понимания роли прямых рассылок

Нейротехнологии можно использовать для понимания роли прямых рассылок

Millward Brown выяснил, как реагирует мозг человека на носители рекламной информации.

В последние годы виртуальные (цифровые) носители рекламной информации демонстрируют взрывной рост, тогда как физические (печатные издания и прямые рассылки) переживают спад. Королевская Почта Великобритании (Royal Mail) захотела разобраться, есть ли какая-нибудь разница в эффективности коммуникаций между физическими и виртуальными носителями информации. 

Исследование, проведенное Millward Brown показало, как мозг воспринимает и обрабатывает физические маркетинговые материалы, такие как прямые рассылки, по сравнению с виртуальными (цифровыми) материалами, представленными на экране. С учетом выводов других видов рекламных исследований о важности эмоций в достижении маркетингового успеха, нас особенно интересовал процесс эмоционального восприятия, вызываемого разными видами информационных носителей.

Работая в сотрудничестве с Центром экспериментальной психологии потребителей университета Бангор (Bangor University), мы использовали функциональную Магнитно-Резонансную Томографию (fMRI) для того, чтобы понять, как мозг реагирует на физические и виртуальные раздражители. Метод fMRI позволяет непосредственно наблюдать активность головного мозга и видеть участки мозга, наиболее вовлеченные в процесс восприятия рекламы. Такое восприятие включает в себя очень тонкие процессы, которые респондент не может точно описать словами или которые невозможно выявить методом интроспекции (самоанализа) – в результате, они остаются за рамками обычных исследований. 

Результаты этого исследования четко показывают, что физические рекламные материалы вызывают больший эмоциональный отклик, чем виртуальные 

 Пример смешанной рекламы
Во время исследования двадцати участникам демонстрировали как реально существующие рекламные объявления, так и одинаковое количество «смешанных» изображений и изображений отпечатанных на карточках для стимулирования физического восприятия. . «Смешанные» изображения использовались в качестве контрольной группы, поскольку известно, что реальный материал возбуждает более одного чувства. Пока участники воспринимали рекламные материалы, производилось сканирование их головного мозга для того, чтобы понять, как носители информации влияют на восприятие рекламных сообщений. 
Результаты исследования   
Работа, проведенная в рамках этого проекта для изучения реакции головного мозга на различные виды носителей информации, велась на уровне, ранее недоступном для исследователей рынка. Среди основных результатов исследования можно назвать следующие: 
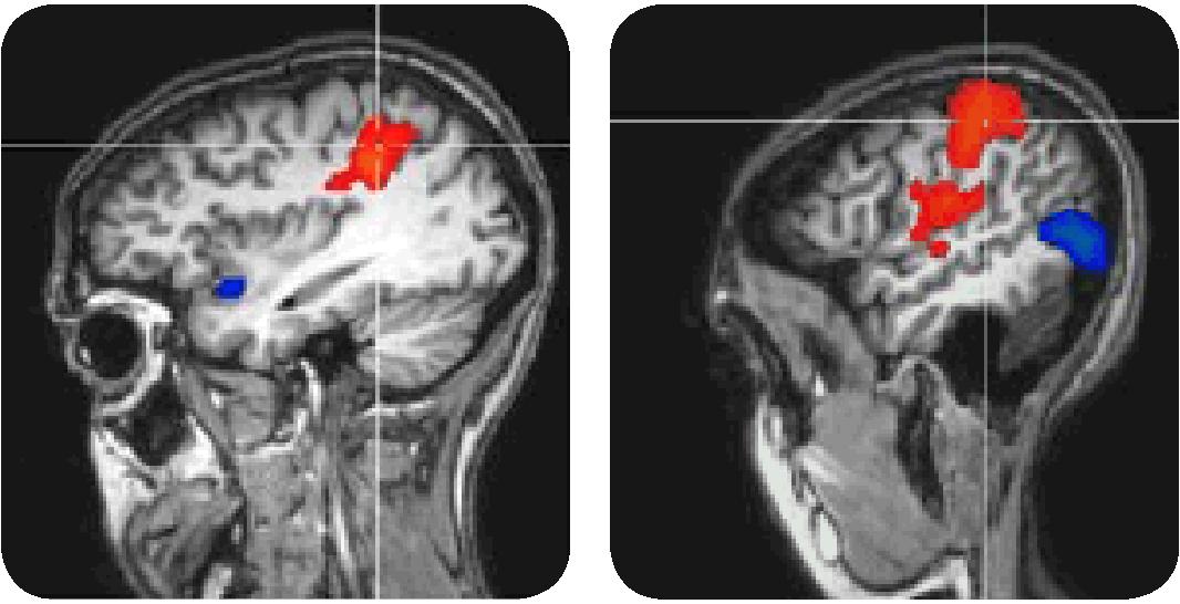
  • Материалы, показанные на карточках, вызвали более интенсивную активность в области головного мозга, отвечающей за интеграцию визуальной и пространственной информации (правая и левая теменные зоны). Это позволяет сделать вывод о том, что физические материалы более «реальны» для мозга. Они физически ощутимы и занимают место в пространстве. В итоге, они лучше запоминаются, потому что ассоциируются с пространственной памятью.

Физические материалы вызывают больший эмоциональный отклик, что важно для запоминаемости и ассоциирования брэнда

 Измерения проводятся с использованием fMRI сканера
  • При предъявлении физических материалов, в правой ретро-пластырной зоне коры головного мозга наблюдается более высокая активность. Эта зона участвует в обработке эмоционально значимых раздражителей и процессе запоминания, из чего можно сделать вывод, что физические носители информации могут генерировать более эмоционально-насыщенные воспоминания.
  • Физическая деятельность вызывает повышенную активность мозжечка, что связано с пространственным и эмоциональным восприятием (а также моторикой), - это может служить еще одним свидетельством более глубокого эмоционального восприятия.
Физические материалы вызывают больший отклик головного мозга, связанный с внутренними чувствами, что позволяет сделать вывод о более высокой способности   рекламы быть «усвоенной»    
 Примечание: красная область на фотографиях представляет кровоток, более насыщенный кислородом (соответственно, более активированный), вызванный физической рекламой. Синие зоны – это области, более активированные виртуальной рекламой. На эти области мозга указывают «перекрестья».
Правая ретро-пластырная      Двусторонний мозжечок 
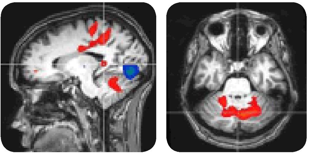
  • Средняя префронтальная часть и поясная часть – это зоны коры головного мозга, отвечающие за эмоциональную вовлеченность.
  • «Сеть» головного мозга выглядит более активной, когда участник рассматривает материалы прямых рассылок. Активность в сети головного мозга ассоциируется с большей концентрацией на внутренних эмоциональных реакциях человека на внешние раздражители.

Правая теменная зона             Левая теменная зона
Из этого можно сделать вывод, что люди больше ассоциировали полученную информацию с собственными мыслями и чувствами.
Никоим образом не умаляя достоинства виртуальных носителей информации, у которых, безусловно, есть свои специфические преимущества – интерактивность и возможность таргетирования - это исследование четко выявило особое восприятие физических носителей.
Проведенное исследование определенно позволяет сделать вывод о том, что более интенсивное эмоциональное восприятие вызывается физическими, а не виртуальными материалами. «Реальное» ощущение, связанное с физическими носителями, обладает более высокой запоминаемостью. Оно генерирует больший эмоциональный отклик, способный сформировать более позитивную ассоциацию с брэндом. Реальные ощущения лучше усваиваются, т.е. материалы обладают более персонифицированным эффектом и способны стимулировать мотивацию.
  
Средняя префронталь-  Задняя поясная часть коры головного мозга 
ная часть   
Примечание: красная область на фотографиях представляет кровоток, более насыщенный кислородом (соответственно, более активированный), вызванный физической рекламой. Синие зоны – это области, более активированные виртуальной рекламой. На эти области мозга указывают "перекрестья".
 Практические выводы  
Результаты этого исследования были опубликованы в рамках новой кампании Королевской Почты «Почта в цифровую эпоху», нацеленной на 3 тысячи ведущих рекламодателей Великобритании. Помимо этого данные результаты были использованы для решения стратегических задач. Прежде всего, это касается долгосрочных программ по изменению отношения медиапланеров к почтовым рассылкам; а также для повышения эффективности рекламы через одновременное использование физических и цифровых элементов для достижения комплексного и синергетического эффекта медийной кампании.
Этот проект также показывает, что нейротехнологии могут расширить инструментарий исследователей. Традиционные инструменты будут оставаться фундаментом наших исследовательских методологий, но в тех случаях, когда речь идет о тонких, едва различимых проявлениях (например, восприятие рекламы), нейротехнологии дают нам новое измерение оценки с более глубоким проникновением в суть задачи. Millward Brown предполагает и в дальнейшем развивать новые подходы, такие как электроэнцефалография (ЭЭГ), контроль движения глаз, измерение имплицитных ассоциативных связей, магнитно-резонансную томографию, а также использовать уже существующие инструменты, способные дать ответ на конкретные вопросы клиентов.
 
“Совместная группа исследователей из Millward Brown и университета Бангор разработала эффективный инновационный подход к пониманию того, как головной мозг воспринимает физические и цифровые носители информации. Группа успешно использовала последние достижения нейротехнологий в рамках маркетингового проекта и получила совершенно новое представление об удивительной разнице в восприятии головным мозгом между этими двумя типами информационных носителей. Эти выводы мы использовали в своей коммуникации об эффективности, присущей рекламным рассылкам, и о том, что физические носители информации должны присутствовать в любой комплексной маркетинговой кампании.”
 Джеймс Китовиц, инсайт-менеджер, Royal Mail  
Тэги:

Кол-во просмотров: 7915



Еще по теме

Таргетирование и «мэйлы» набирают популярность

Таргетирование и «мэйлы» набирают популярность

Итоги доклада партнера Data Insight Федора Вирина и вице-президента IAB Russia Алексея Беляева на конференции «My perfomance day 2019»

Битва на моделях

Битва на моделях

Как американские исследователи пытались предсказать итоги президентских выборов

Любовь в эпоху коронавируса

Любовь в эпоху коронавируса

Реклама ко Дню Святого Валентина 2021 года в разных странах

Нелегкие рекламные проводы 2020 года

Нелегкие рекламные проводы 2020 года

Самые яркие рекламные ролики в преддверии «коронавирусного» Рождества

Знаменитость в рекламе: за и против

Знаменитость в рекламе: за и против

Что делать и чего не делать, планируя участие звезды в рекламной кампании